After several suspected cases, Ethiopia has confirmed its first outbreak of the dangerous Marburg virus. Nine infections were reported in the Omo region on the border South Sudan registered, authorities said. Director General of the World Health Organization (WHO) Tedros Adhanom Ghebreyesus praised the Ethiopian government’s quick action. This shows their determination to immediately contain this outbreak.
WHO sent a team of experts after the Ethiopian government reported eight suspected cases of the dengue virus on Thursday. WHO experts should support the East African country in testing and fighting the outbreak.
The suspected cases were reported from areas on the border with South Sudan. The outbreak is being taken very seriously because the neighboring country does not have adequate health services, said Africa CDC director general Jean Kaseya. No cases of Marburg have been reported in other African countries in recent weeks.
So far there is no vaccine or treatment for the Marburg virus
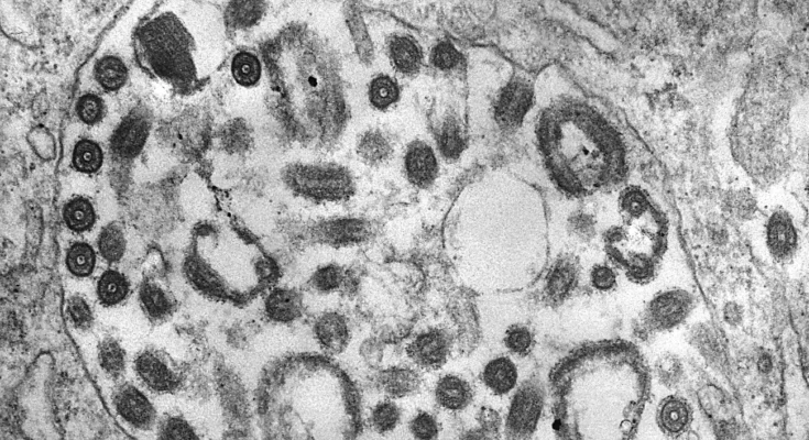
There is no vaccine or treatment approved against Marburg virus. Symptoms include fever, muscle aches, diarrhea, bloody vomit, and in some cases, death from excessive blood loss. Like Ebola, the Marburg virus originates from flying foxes and is transmitted through close contact with the body fluids of an infected person or through contaminated surfaces.
The pathogen is named after the Hessian city of Marburg, where laboratory employees first contracted the disease in 1967 through contact with infected monkeys. A total of 29 people were infected, seven of whom died.
